MedicaBazaar

Registration

Language

Location

Sign In

Language And Payment

Sign In

Latest Searched
Laboratory Immunology Immunoanalysis reagents
Expanded Image
Medium reagent alpha-fetoprotein
Characteristics
applications immunohistochemistry
format liquid
tested parameters for antigens, AFP
type reagent medium
Description
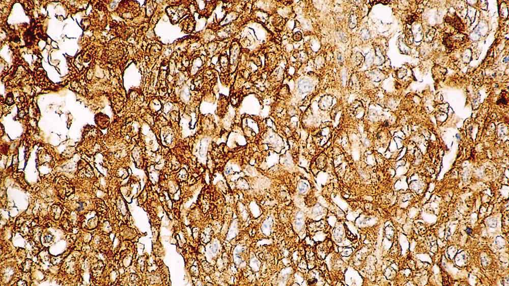
Antigen Background

Alpha Fetoprotein (AFP) is an oncofetal antigen of 70 kD found in body fluids, which if detected in high concentrations has clinical implications. AFP is expressed in fetal liver but is not present under normal circumstances in healthy adult tissues. It is reported to be expressed in a proportion of germ cell tumors, with high frequency in yolk sac tumors.

Disclaimer

Alpha Fetoprotein is recommended for the detection of specific antigens of interest in normal and neoplastic tissues, as an adjunct to conventional histopathology using non-immunologic histochemical stains.
Leica Biosystems
0 Followers
Products